首页
伤感说说
动漫配图
心情说说
抖音文案
伤感图片
伤感说说:
伤感的句子说说心情
空间说说
心情说说
爱情说说
女生伤感说说
人生感悟
心情不好的说说
说说带图片
关于生活的说说
说说心情短语
qq空间说说带图片
个性说说
励志名言
一句话经典语录
感悟人生的经典句子
短句吧
情感故事
抖音文案
伤感图片:
伤感图片带字
非主流伤感图片
唯美伤感图片
女生伤感图片
唯美意境图片
悲伤的图片
唯美意境伤感图片
只有字的伤感图片
说说图片
伤心的图片
美甲图片
图片大全
情感图片
微信头像男
动态壁纸
动漫配图
伤感图片
首页
>
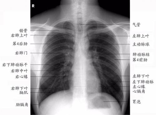
正常女性胸片
正常女性胸片,正常胸片和异常胸片
正常胸片
患者表现和正常人一样,年轻女性手足多汗,严重滴水 .表现和常人无异.
2019年11月25日胸片粗看仍属基本正常,细看右下肺纹理较增粗模糊.
正常胸片
正常x线胸片表现
更多推荐
正常胸片和异常胸片
胸片正常图片女性
胸片正常图片胸透
女性正常人的胸片
胸片女性
正常的胸片图片
胸片正常图片
女性正常胸片影像图片
正常胸片
正常人胸片
女性侧位胸片
正常胸片影像图片
胸片胸透
胸片和胸透的机器图片
正常女性
气胸胸片
正常女性骨盆x光片
胸片图片
女性胸片看得出乳房嘛
正常乳头女性
气胸x线胸片图解
正常女性大小
女性正常体重
胸片
x光胸片
胸片怎么看
健康胸片
拍胸片照片
正常女性外阴
拍胸片