首页
伤感说说
动漫配图
心情说说
抖音文案
伤感图片
伤感说说:
伤感的句子说说心情
空间说说
心情说说
爱情说说
女生伤感说说
人生感悟
心情不好的说说
说说带图片
关于生活的说说
说说心情短语
qq空间说说带图片
个性说说
励志名言
一句话经典语录
感悟人生的经典句子
短句吧
情感故事
抖音文案
伤感图片:
伤感图片带字
非主流伤感图片
唯美伤感图片
女生伤感图片
唯美意境图片
悲伤的图片
唯美意境伤感图片
只有字的伤感图片
说说图片
伤心的图片
美甲图片
图片大全
情感图片
微信头像男
动态壁纸
动漫配图
伤感图片
首页
>
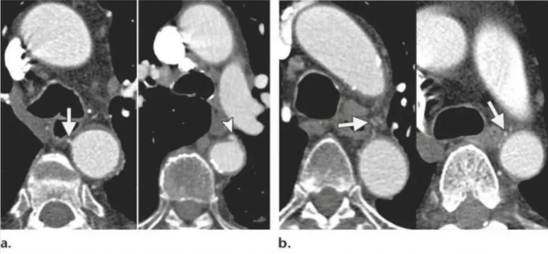
支气管动脉CT
支气管动脉CT,支气管动脉造影
正常人支气管内经小于伴行动脉直径,支扩患者的支气管比伴行动脉粗
李裁缝先通过患者的胸部cta大概找到患者的支气管动脉开口.
支气管动脉的解剖和变异——医学影像人课件解读
支气管动脉解剖及异常影像表现
正常人支气管内经小于伴行动脉直径,支扩患者的支气管比伴行动脉粗
更多推荐
支气管动脉造影
支气管动脉
肺支气管动脉
支气管动脉位置
支气管动脉分支解剖
支气管动脉解剖
支气管动脉CTA
支气管动脉图片
支气管动脉cta图片
支气管动脉三维图
支气管动脉解剖图
支气管动脉解剖ppt
支气管动脉解剖结构
支气管动脉解剖及位置
空气支气管征ct图片
支气管充气征ct图片
空气支气管征
颈内动脉c6段动脉瘤
食管动脉
支气管充气征
支气管扩张
肺支气管
支气管
支气管解剖
空气支气管征图片
支气管静脉回流示意图
动脉导管
支气管人体
支气管位置
支气管循环