首页
伤感说说
动漫配图
心情说说
抖音文案
伤感图片
伤感说说:
伤感的句子说说心情
空间说说
心情说说
爱情说说
女生伤感说说
人生感悟
心情不好的说说
说说带图片
关于生活的说说
说说心情短语
qq空间说说带图片
个性说说
励志名言
一句话经典语录
感悟人生的经典句子
短句吧
情感故事
抖音文案
伤感图片:
伤感图片带字
非主流伤感图片
唯美伤感图片
女生伤感图片
唯美意境图片
悲伤的图片
唯美意境伤感图片
只有字的伤感图片
说说图片
伤心的图片
美甲图片
图片大全
情感图片
微信头像男
动态壁纸
动漫配图
伤感图片
首页
>
单核细胞图片显微镜
单核细胞图片显微镜,单核细胞显微镜下图片
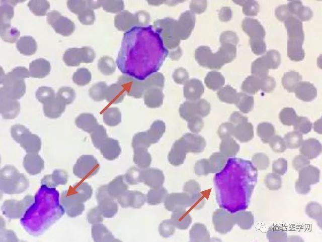
单核细胞
单核细胞
图为单核细胞增多,可见幼单 提示jmml,cmml可能
如何区分中性杆状粒和单核细胞?
单核细胞-外周血中的百变咖
更多推荐
单核细胞显微镜下图片
白细胞图片显微镜
单核细胞显微镜
巨噬细胞图片显微镜
淋巴细胞图片显微镜
浆细胞图片显微镜
显微镜图片植物细胞
浆细胞显微镜下图片
淋巴细胞显微镜下图片
单核细胞图片
原始单核细胞图片
单核细胞光镜图
细菌图片显微镜
幼稚单核细胞图片
血小板图片显微镜
单核细胞和淋巴细胞
淋巴细胞和单核细胞
淋巴细胞显微镜
中性粒细胞镜下图片
单核细胞图片红蓝铅笔
巨核细胞图片
单核细胞形态图谱
显微镜图片结构图
单核细胞手绘图
显微镜图片
中性分叶核粒细胞图片
巨噬细胞图片
红细胞图片
中性粒细胞图片
单核细胞